Nhiều bậc cha mẹ đưa con đưa con đi khám vì lo lắng khi phát hiện trên răng của con xuất hiện những vệt đen dọc theo viền nướu.
Hiện tượng này gọi là black stain hay mảng bám đen trên răng, một tình trạng khá phổ biến ở trẻ em trên thế giới cũng như tại Việt Nam.
Điều đáng chú ý là, trái ngược với sự lo âu của phụ huynh, các nghiên cứu cho thấy trẻ có mảng bám đen trên răng lại thường ít bị sâu răng hơn. Đây là một nghịch lý thú vị đã được nhiều công trình khoa học làm sáng tỏ trong suốt hơn 60 năm qua.

Nguồn gốc của mảng bám đen trên răng sữa
Thông thường ở người lớn, nếu phát hiện răng vĩnh viễn có những mảng bám màu đen, chúng ta thường nghĩ đến ngay nguyên nhân là do uống nhiều trà, hoặc cà phê, thuốc lá, em bé không có các thói quen này, mảng bám đen trên răng sữa này là gì?
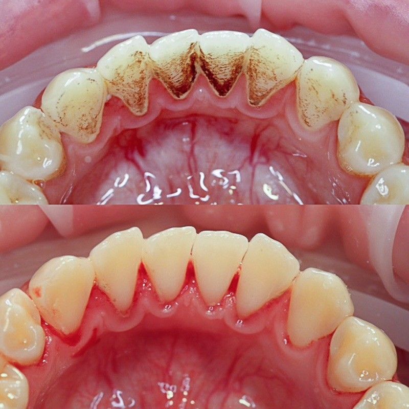
Đây là dạng nhiễm màu ngoại sinh, nghĩa là những chất tạo màu bám từ bên ngoài chứ không phải do bản thân mô răng bị bệnh lý. Những mảng này thường xuất hiện thành chấm hoặc thành dải màu đen, chạy song song với viền nướu, đặc biệt rõ ở mặt trong của răng hàm dưới hoặc mặt ngoài của răng cửa trên.
Mảng bám đen bám rất chắc, khó làm sạch bằng cách chải răng thông thường và thường tái phát ngay cả sau khi bác sĩ nha khoa đã làm sạch. Tuy không gây đau đớn hay làm suy yếu răng, hiện tượng này ảnh hưởng đáng kể đến thẩm mỹ, khiến nhiều trẻ ngại cười và cha mẹ thì hoang mang.
Nguyên nhân và cơ chế hình thành mảng bám đen trên răng sữa
Cơ chế hình thành mảng bám đen đã được nghiên cứu khá kỹ. Người ta xác định rằng chúng chủ yếu được tạo bởi hợp chất muối sắt không tan, gọi là ferric sulfide. Quá trình này xảy ra khi một số loại vi khuẩn trong mảng bám răng tiết ra khí hydro sulfide (H₂S), chất này kết hợp với sắt có trong nước bọt hoặc dịch nướu để tạo nên các hạt màu đen bám chắc vào men răng.
Các vi khuẩn thường gặp trong mảng bám có vết đen bao gồm Actinomyces, Rothia, Neisseria, Porphyromonas và Prevotella.
Ngoài ra, nước bọt của trẻ có vết đen thường giàu canxi, phosphate, đồng, kẽm và có độ pH cao hơn, cùng với khả năng đệm tốt hơn, nhờ đó răng của các em ít bị hòa tan bởi acid và có sức đề kháng tốt hơn với sâu răng. Chế độ ăn uống cũng có vai trò nhất định.
Các yếu tố thuận lợi tạo mảng bám đen trên răng
– Bề mặt men răng và nước bọt: Bề mặt men răng thô ráp có thể khiến răng dễ bị nhiễm mảng bám đen. Tương tự như vậy, nước bọt có tính axit hoặc miệng khô liên quan đến việc thở bằng miệng làm tăng sự hiện diện của vi khuẩn gây mảng bám đen.
– Chế độ ăn uống : Một số thực phẩm giàu sắt, nước tương, củ dền hay các loại rau nhiều sắc tố có thể làm tăng nguy cơ hình thành vết đen.
– Thuốc bổ sung sắt : Thuốc bổ sung giàu sắt, thường được kê cho trẻ em bị thiếu máu do thiếu sắt, có thể dẫn đến tình trạng răng xuất hiện mảng bám đen hoặc xanh đậm.
– Bơi lội trong thời gian dài: Tiếp xúc với clo và các hợp chất khác trong nước hồ bơi có thể góp phần làm răng đổi màu, tùy thuộc vào chất lượng và loại men răng của trẻ.
– Thực hành vệ sinh răng miệng : Đánh răng và dùng chỉ nha khoa không đúng cách có thể dẫn đến tích tụ mảng bám, mảng bám này dễ bị khoáng hóa và tạo sắc tố bởi vi khuẩn sinh sắc tố, dẫn đến loại mảng bám đen này.

Làm thế nào để nhận biết, loại bỏ mảng bám đen?
Việc phát hiện sớm tình trạng mảng bám đen không khó khăn vì bố mẹ có thể quan sát thấy được dễ dàng khi quan sát các bề mặt răng.
Mảng bám đen này là những Vết bẩn cứng đầu, không giống như mảng bám mềm do thức ăn đọng lại sau ăn, mảng bám đen không dễ dàng loại bỏ bằng cách chải răng bằng bàn chải thông thường. Các vùng bị mảng bám đen có thể có cảm giác thô ráp so với phần còn lại của bề mặt răng.
Khi các biện pháp phòng ngừa không đủ, nhiều phương pháp điều trị khác nhau có thể kiểm soát hiệu quả tình trạng nhuộm màu:
Cách điều trị phổ biến hiện nay là bác sĩ nha khoa sẽ làm sạch mảng bám với các hệ thống siêu âm hoặc khí muối sinh học. Các hệ thống khí muối sinh học sẽ làm sạch tốt và nhanh hơn, tạo cảm giác thoải mái cho trẻ hơn.
Một số nghiên cứu thử nghiệm laser, quang động học, chế phẩm kháng khuẩn sinh học hay probiotics hỗ trợ điều trị để hạn chế tái phát, nhưng chưa có phương pháp nào thực sự triệt để.
Vì mảng bám đen phần lớn bị ảnh hưởng bởi vi khuẩn có trong miệng, nên việc tác động đến môi trường miệng có thể giúp ngăn ngừa hoặc làm giảm cường độ xuất hiện mảng bám đen. Một số trẻ có thể có sự thay đổi môi trường miệng khi lớn lên hoặc có thể thay đổi môi trường miệng thông qua việc sử dụng các nước súc miệng diệt khuẩn (với trẻ trên 5 tuổi).
Nếu sử dụng nước súc miệng cho trẻ em nên lựa chọn các loại nước súc miệng không có cồn.
Biện pháp phòng ngừa nào bố mẹ và người chăm sóc có thể sử dụng cho trẻ?
Ngăn ngừa mảng bám đen liên quan đến cách vệ sinh răng miệng và thói quen ăn uống. Sau đây là một số biện pháp phòng ngừa hiệu quả:
-Đánh răng và dùng chỉ nha khoa thường xuyên: Đảm bảo trẻ em đánh răng ít nhất hai lần một ngày bằng kem đánh răng có chứa fluoride và dùng chỉ nha khoa hàng ngày để loại bỏ mảng bám. Đồng thời đừng quên vệ sinh lưỡi cho trẻ.
-Chế độ ăn uống cân bằng: Hạn chế tiêu thụ thực phẩm và đồ uống giàu chất tạo màu. Khuyến khích chế độ ăn giàu chất xơ như trái cây và rau, bổ sung khoáng chất từ các sản phẩm từ sữa giúp răng khỏe mạnh.
-Kiểm tra răng định kỳ: Nên khám định kỳ 3 tháng/lần với trẻ dưới 5 tuổi và 6 tháng/lần khi trẻ lớn hơn để loại bỏ hiệu quả các mảng bám và theo dõi sức khỏe răng miệng, phát hiện sớm và điều trị kịp thời các vấn đề răng miệng.
-Quản lý việc bổ sung sắt: Nếu cần bổ sung sắt, hãy cân nhắc đến dạng lỏng có thể uống bằng ống hút để giảm thiểu tiếp xúc với răng hoặc đánh răng sau đó.
Nhiều nghiên cứu đã chứng minh trẻ có mảng bám đen thường ít sâu răng hơn nhờ sự khác biệt về hệ vi sinh và thành phần nước bọt. Tuy nhiên, vì lý do thẩm mỹ và tâm lý, cha mẹ vẫn nên đưa trẻ đến bác sĩ nha khoa trẻ em để làm sạch và được tư vấn chăm sóc tại nhà.
Nguồn : bau.vn